Scanner - Beratung

Fachberatung
Schnelle Handhabung, einfache Bedienung
Zusätzlich bieten wir Fachberatung rund um den Bereich der künstlichen Besamung an, nicht nur beim Besamungsmanagement, sondern auch bei der Organisation rund um das Besamen können wir hilfreiche Tipps vermitteln. In Verbindung mit dem Scannerservice kann mit Hilfe die Eierstocksdiagnostik der optimale Besamungszeitpunkt festgestellt werden.
Empfehlenswert bei:
- zu hohen Umtauschraten
- zu wenig geborenen Ferkeln
- Probleme bei der Besamungstechnik
- Anlernen von Fremdarbeitskräften
Scannerservice

Der Scanner ist am
Arm tragbar.
Reduzieren Sie durch den Scannerservice unnötige Leertage. Dadurch wird die Leistung Ihres Sauenbestandes gesteigert. Neben der Trächtigkeitsdiagnise bieten wir Die Eierstocksdiagnostik an.

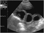
Scannerbild, 23. Trächtigkeitstag